Aesthetic Restorations
As aesthetic restorations we define interventions on teeth that restore or improve their appearance to almost perfection. They range from minimally invasive to complete and extensive procedures. The following cases are in ascending order of complexity.
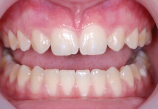
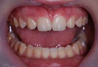
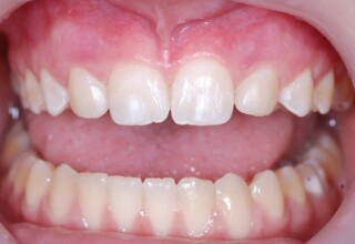
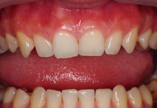
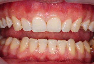
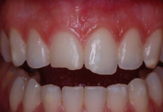
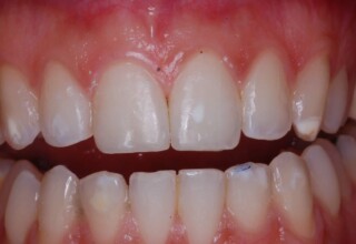
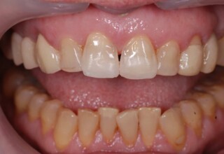
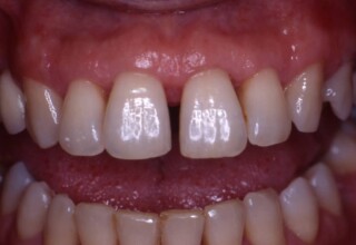
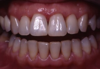
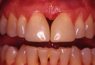
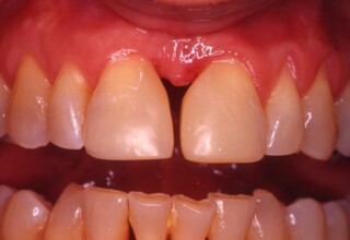
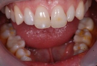
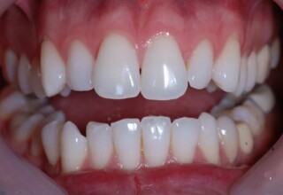
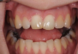
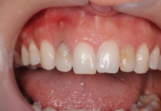
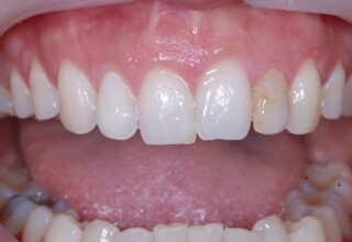
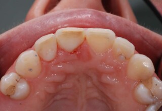
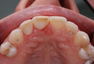
Restoration of bilateral diastemas between central and lateral incisors.
Diastemas were created mainly because of narrow laterals. After orthodontic treatment was finalized, the diastemas were closed with two composite resin restorations.
Whitening/bleaching
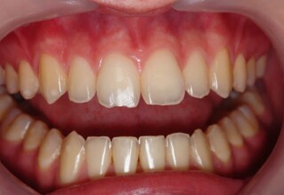
Whitening of non-vital teeth
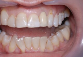
Teeth with a root canal often lose their brightness and darken to an unesthetic level. Their bleaching requires an excellent root canal and patience. An adhesive filling is placed inside the root to confine the bleaching effect to the tooth part which is visible in the oral cavity. The actual bleaching may require 1-5 short sessions for the placement and renewal of the bleaching material. After the bleaching a high quality adhesive filling is mandatory.
Initial appearance

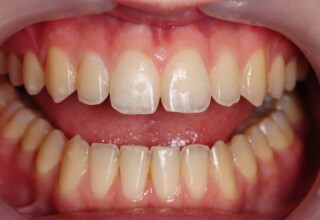
Final appearance

Initial appearance

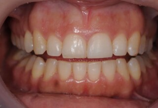
Final appearance

Initial appearance

Final appearance

Bleaching and height increase of lower central incisor
Bleaching of vital left premolar, bleaching of all teeth and new restorations
Initial appearance

Final appearance

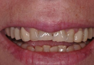
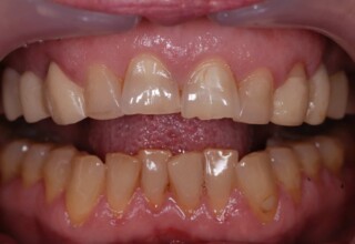
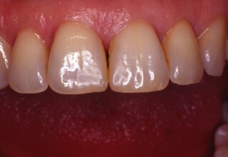
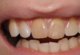
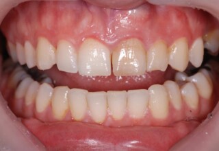
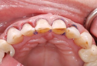
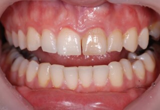
Composite Resin Veneers
Resin veneers are an inexpensive mode of esthetic improvement of anterior teeth, premolars also. Their potential is admirable and their limit is the operator’s clinical dexterity and imagination. In this case there were multiple problems with the upper four incisors: staining, poor inclinations, diastemas, multishading, poor interrelationship and poor tooth-gingiva ratios. They were restored with four direct composite resin veneers (one on a porcelain implant crown!) which were manufactured intraorally!!!
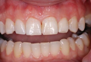
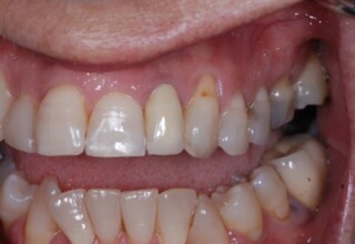
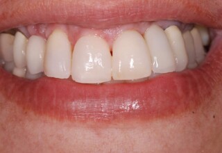
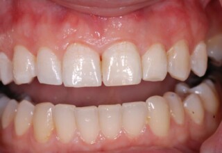
Porcelain Veneers
The best way to solve esthetic problems of the anterior teeth. They combine very little tooth grinding with very high esthetic performance. In the following extensive case anterior teeth presented with: old restorations, staining, poor shape, length and tooth –gingiva ratio. Meticulous diagnostic waxing was performed on study casts and temporary veneers were manufactured. Temporary veneers were used intraorally to evaluate the incorporated changes and to further modify and adjust were needed. When esthetics and function were approved by the patient and were satisfying for the operator the temporaries were used as a guide for the final porcelain veneers. The five final veneers on the upper anterior teeth restored the smile of the patient to almost perfection.




Initial appearance

Final appearance

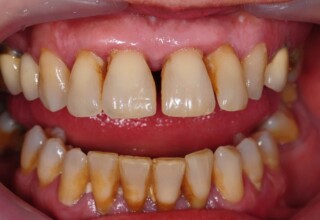
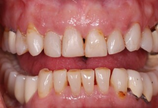
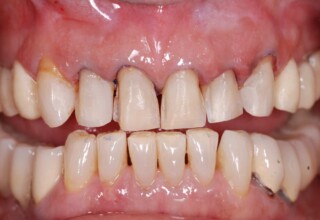
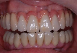
Extensive Cases
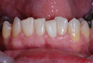
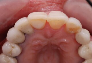
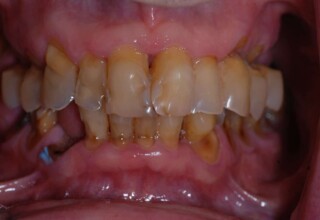
Extensive case with crowns in almost all teeth
Extensive case with crowns in almost all teeth due to extensive wear, old restorations, posterior root canals and aesthetic concerns. Patient (60years old) presented with intense bruxism which he never had treated. Consequently, he obtained very deep cervical abrasions which jeopardized tooth integrity. Restorations (fillings) were executed mainly with adhesive resinous materials and three custom cast post and cores. Temporary crowns were placed to evaluate the desired size, shape and position of the teeth before permanent crown fabrication.
Initial smile

Final Smile

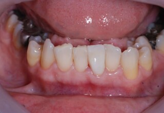
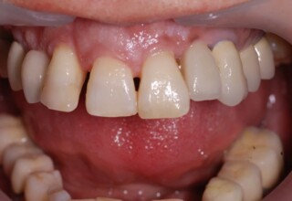
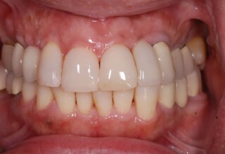
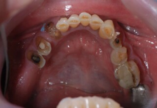
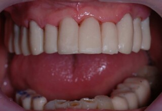
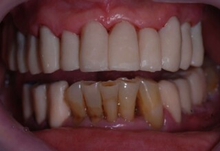
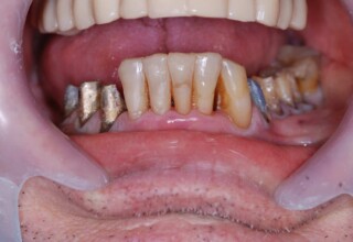
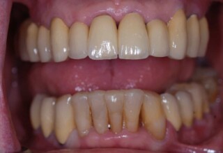
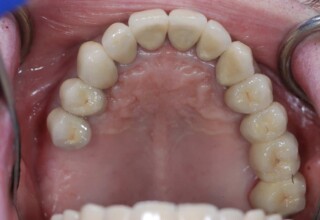
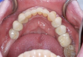
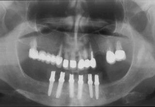
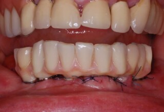
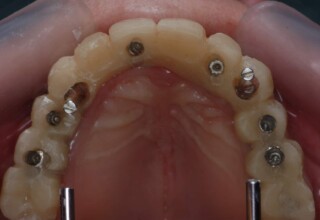
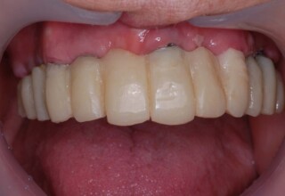
Full mouth prosthetic reconstruction on implants with a different approach on upper and lower jaw
Lower jaw: extractions, direct implant placement and immediate loading (same day) with a transitional bridge.
Upper jaw: Sequential extractions, sequential implant placement and gradual incorporation in the temporary bridge so that the patient was never left without fixed teeth. The aim of the above approach was to have the patient in continuous functional and aesthetic reconstruction, without immediate loading due to anatomical restrictions. Old smiling photos of the patient were used because the natural shape of the teeth was completely lost due to repetitive prosthetic attempts. Tooth relationship and teeth-lip support was transferred to the temporary restorations. Two different transitional bridges were needed to fully estimate phonetics, mastication and esthetics. After the necessary adjustments were finalized, the temporary bridge was used as a guide for the permanent bridges.




Initial

Intermediate

Final

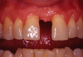
Special Cases
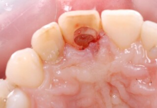
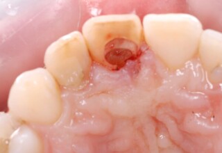
Dark root canal teeth
A rare case of dark root canal teeth with additional external absorption on the central incisor. After removal of the affected tissues of the central incisor, the tooth could not be directly bleached because of the soft tissue contact. The tooth was initially restored to provide the original tooth form, then it was bleached and the restoration was finalized.
Initial appearance

Final appearance

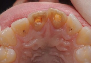
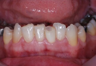
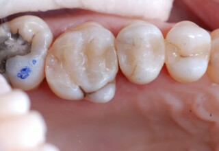
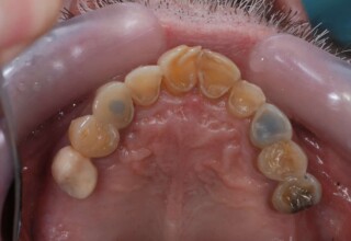
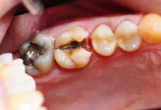
Posterior Tooth Root Canal Restoration with a Composite Resin Filling
The common restoration of a posterior tooth after a root canal is a crown. Its main purpose is to protect from fracture and concomitant extraction. In very few cases that specific criteria (mainly remaining tooth structure) are met or where finances predominate, an extensive composite filling can restore both aesthetics and function.
Restoration of a cracked molar with composite resin
Cracked teeth present a challenge in restorative dentistry both from the aspect of complexity of the restoration itself (usually large filings) and the necessary providings to avoid a complete fracture. The presented case demonstrates the simplest approach of a bonded direct restoration with composite resin. It is based on the principle of an adhesive filling that “holds” the remaining tooth structures “together”. The restored molar remained healthy for two years, then required a root canal and a crown was placed for maximum protection.
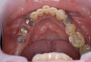
Fixed Restoration combining a classical and a resin-bonded retainer (RBR)
A missing upper premolar was replaced by a fixed bridge. The anterior abutment was previously restored with a crown, so a classic full coverage crown served as the anterior bridge retainer. The posterior abutment was an unprepared, unfilled tooth with an extensive gingival recession. In order to avoid extensive preparation and a concomitant root canal, a partial metal retainer (a 360o Maryland type wing) was used. It provides adequate retention since 2008.














































































































